An unprecedented outbreak of vaping-associated pulmonary injury (VAPI) has sickened up to 450 people and killed as many as six in 33 states.

A current suspect in the outbreak is vitamin E acetate, sometimes used as a vape cartridge additive. It’s a popular new diluent thickener found mostly in illicit market THC vape carts. What is vitamin E oil and what makes it dangerous? We explore below.

Vitamin E Oil Has Natural or Synthetic Sources

Vitamin E is the common name for several similar types of oils called tocopherols. They’re commonly found in corn and other vegetable oil or made synthetically from petroleum. We often eat it as a dietary supplement, and manufacturers put it in food and cosmetics.

“No vitamin E should be vaped regardless of its chemical structure.”

Eliana Golberstein Rubashkyn, chief scientist, Myriad Pharmaceuticals

From plant sources of tocopherols, chemists extract vegetable oil, then separate the tocopherols from the rest of the vegetable oil using fractionation. It’s like distilling.

It’s also possible for chemists to create tocopherols without using plant matter. It’s commonly synthesized in three steps, using toxic petroleum-derived precursor chemicals—most significantly trimethylhydroquinone.

Hydroquinone is a controversial compound sold in the United States as a topical skin lightening agent. It’s used to get rid of dark spots or discolorations. The European Union has banned hydroquinone because of its potential carcinogenic effects. The FDA has expressed concern over the use of the compound but so far has not limited its sale in the United States. Inhaling residual hydroquinone aerosol from a cheap vitamin E oil would be problematic.

Vitamin E Oil Has 8 Forms

Eight main types of tocopherol exist, from alpha-tocopherol all the way through gamma-tocopherol.

“The most relevant vitamin E compound is alpha-tocopherol since it is the most abundant and potent of the group,” said Vu Lam, an official with Anresco Laboratories in San Francisco.

“The main difference between naturally occurring vitamin E and synthetic vitamin E is the presence of stereoisomers,” Lam explained. “Naturally occurring vitamin E will only contain the D-isomer (i.e. D-alpha-tocopherol). Synthetic vitamin E will typically be a mix of the D- and L–isomers (DL-alpha-tocopherol).”

Alpha-Tocopherol Is Different Than Tocopheryl-Acetate

“Tocopheryl-acetate is the ester form of tocopherol. Tocopheryl-acetate is more stable towards oxidation and will typically have longer shelf life than tocopherol,” Lam said.

Neither Is OK to Inhale, Experts Say

All these forms of vitamin E oil go into foot creams, face creams, and other cosmetics as topicals. In some people it can cause rashes.

The cosmetics industry never considered its use for inhalation, at least beyond accidentally getting some lotion in your nose. Its acute inhalation toxicity is not known, and inhaling oil is generally a bad idea.

“It’s in every store in downtown LA.”

Alex Dixon, Floraplex CEO

“Lipids [i.e. oils] in the lung are highly toxic and have been associated with lung injury for years,” retired California pulmonologist Dr. Howard Mintz told Leafly. “They are most commonly seen in persons using ointments in their noses,” which can lead to a condition known as lipoid pneumonia.

All tocopherols may uniquely disrupt the function of the fluid lining the surface of the lungs.

“No vitamin E should be vaped regardless of its chemical structure,” said Eliana Golberstein Rubashkyn, a New Zealand–based pharmaceutical chemist and the chief scientist of Myriad Pharmaceuticals.

Drug-involved vitamin E oil inhalation injuries have been documented dating back at least to the year 2000.

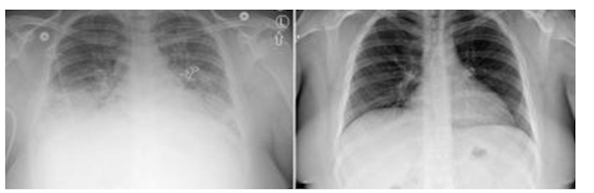
Sickened lungs show up as cloudy on the left X-ray and clear after treatment of one suspected VAPI patient in Utah. (Courtesy University of Utah)

Tocopheryl-Acetate May Compound Problems

The acetate form of vitamin E oil, tocopheryl-acetate, may worsen lung reactions.

Tocopherols adhere to your lung’s liner fluid, called lung surfactant. Lung surfactant enables oxygen to transfer from air into your body. Tocopherols serve to block the necessary gas transfer from occurring.

“Vitamin E has the ability to integrate on membranes by creating a coating over the pulmonary surfactant layer,” said Rubashkyn.

It’s part of a class of “long-chain” oils that can adhere to and clump up your lung fluid, she said.

Tocopheryl-acetate contains an acetate ring (arrow 1) that enhances its natural affinity for binding (arrow 2) to lung fluid. (PubChem/Leafly)

“Tocopheryl-acetate destabilizes the fragile, lipo-hydrophilic balance of this lung surfactant, causing occlusion, affecting the permeation of gases and substances in the bronchial structures and alveoli,” said Rubashkyn.

It’s like Saran-wrapping the inside of your lungs.

The result: Lung cells die. That damage can initiate a runaway immune system reaction resembling lipoid pneumonia, she said. This may especially occur with high doses of tocopheryl-acetate, such as in formulations found in a vape cart cut heavily with the oil. And it may occur even at relatively low vaping temperatures.

Tocopheryl-acetate’s chemical acetate ring enables it to cling even more strongly to lung surfactant than the non-acetate form. It’s like Saran-wrapping the inside of your lungs.

“Acetate or no acetate, the long chain that vitamin E has and its interactions with membrane surfaces is still considerable,” said Rubashkyn. “The acetate only makes vitamin E more lipophilic.”

Dumas de Rauly, chair of the ISO Committee on Vaping Standards and CEN Vaping Standards Committee, publicly criticized the use of vitamin E acetate in MJBizDaily. “In no case is this a product that you should be inhaling,” he said. “When you add products like vitamin E … when you add different kinds of lipid solvents to the mix, you’re making all of that oil stickier, and that stickiness is going to create these lung illnesses we’re seeing.”

Rare, oil-laden immune cells extracted from a VAPI patient in Utah (left). On the right, a normal macrophage. (Courtesy Andrew Hansen/Jordan Valley Medical Center)

Some Merchants Think It’s Safe

Merchants have demonstrated inadequate proof of the product’s safety for inhalation.

Constant Therapeutics of California confirmed earlier this week that the company holds a patent on the use of alpha-tocopherol in a vape pen for medical cannabis patients.

Constance Finley, founder of Constance Therapeutics, said she developed it in consultation with an oncologist and has seen it used by more than 5,500 sick cancer patients.

“We do not have a single reported case of lung distress that has come to our attention,” said Finley.

Finley drew a clear distinction between the alpha-tocopherol her company uses and the tocopheryl-acetate found in some illicit vape cartridges, citing a 2013 New York Times article and one research paper showing differences in lung reaction to different tocopherols. Finley said she considers tocopheryl-acetate unsafe to use in any vape cartridges.

Drew Jones, the founder of the Oregon-based vape cartridge additive maker Mr. Extractor, told Leafly over the weekend that tocopheryl-acetate was one of the ingredients in his company’s product Clear Cut. The company suspended sales of Clear Cut late last week.

Jones said he believed tocopheryl-acetate was safe based on its FDA safety sheet, which lists it as a nutrient. He also submitted to Leafly a commercial safety data sheet. While the safety sheet warned about inhalation, neither document specified anything about vaping, especially in high concentrations.

Jones also pointed to research studies of a different molecule in rats, a different molecule in 17 sheep, and 33 people who ate tocopheryl-acetate but did not inhale it as a high-temperature gas.

Vitamin E Oil Is Rampant in the Illicit Market

Multiple industry operators told Leafly that vitamin E oil first appeared in vape pens on the illicit cannabis market in Los Angeles near the end of 2018, in a product called Honey Cut. Honey Cut Labs LLC of California is registered to Joshua Temple of Los Angeles. Honey Cut could be ordered through a website that was taken down shortly after Leafly identified it in a report last week.

Honey Cut proved so popular as a THC oil cutting agent that dozens of knockoff versions appeared in early 2019 and soon began appearing in street-market vape cartridges nationwide.

Drew Jones estimated that more than 40 companies sold their own versions of a tocopheryl-acetate cutting agent. He estimated that it could be in up to 60% of US vape carts, up from almost none the year before. Alex Dixon, CEO of Floraplex, which makes the chemical thickener Uber Thick, told Leafly that as many as 50 million carts may contain the thickeners.

“It’s in every store in downtown LA,” said Jones. “Just about any [online sales] platform you can think of.”

New York officials said Uber Thick turned up nearly all tocopheryl-acetate. (YouTube)

Vitamin E Oil Allowed in Most Legal Markets

So far most of the vape carts seized in the ongoing investigation into the lung injuries have come from the illicit market. Stringent testing in state markets deters additive use—but doesn’t absolutely assure its absence. Regulations in legal adult-use cannabis markets do not explicitly ban many additives, including tocopherols. But they may soon. A number of state cannabis regulatory agencies have scrambled to get on top of the vape lung outbreak, and could be considering emergency new regulations in light of the health crisis.